Have you ever heard of Charcot foot? It’s a condition that can cause serious problems for your feet. When Charcot foot happens, the bones in the foot become weak. This can make it hard to walk and lead to pain. But did you know that special insoles can help? These insoles are designed to support and protect your feet. They can make a big difference in how you feel every day.
Imagine trying to walk with a hurting foot. It’s not easy, right? This is why finding the right insoles is so important. Charcot foot insoles can help you take simple steps again. They can give your foot the comfort it needs to heal. Plus, they can help you enjoy your favorite activities without worrying about pain.
In this article, we will explore how Charcot foot insoles work. We will also share tips on choosing the best ones for you. Your feet deserve care, and the right insoles can help make that happen.
Charcot Foot Insoles: Enhance Comfort And Support Today

Understanding Charcot Foot Insoles
Charcot foot insoles play a vital role in managing the condition of Charcot foot. This condition causes weakening of bones in the foot, leading to severe deformities. Proper insoles support the foot’s structure and alleviate pain. They also help in redistributing weight, preventing further damage. Did you know that using the right insoles can improve your balance? By choosing the right type, you can walk better and feel more comfortable every day.What is Charcot Foot?
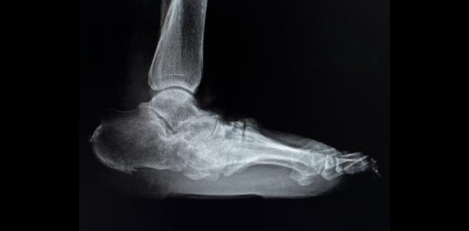
Definition and description of Charcot foot.. Common causes and risk factors associated with the condition..Charcot foot is a serious condition that affects the bones in the foot. It happens when there is damage to the nerves. This can lead to swelling, pain, and changes in the foot shape. Common causes include diabetes, nerve injuries, and arthritis. Risk factors can be:
- Diabetes
- Foot injuries
- Heavy alcohol use
- Certain autoimmune diseases
Without treatment, the condition can worsen, leading to serious problems. Early care is very important!
What causes Charcot foot?
Charcot foot is often caused by nerve damage or loss of feeling in the foot. This can lead to unnoticed injuries that worsen over time. Immediate medical attention may prevent further damage.
Understanding the Importance of Insoles for Charcot Foot
How insoles help in managing Charcot foot symptoms.. Benefits of using specialized insoles for support and comfort..Insoles can really make a big difference for those with Charcot foot. They provide support and comfort, helping to reduce pain. Here’s how they help:
- They cushion the foot and lessen the impact while walking.
- Specialized insoles correct foot position, preventing further injury.
- They distribute weight evenly, helping to avoid pressure spots.
Many people report feeling more stable. This allows them to enjoy activities they might have avoided before. With the right insoles, walking can feel easier and safer.
How do insoles manage Charcot foot symptoms?
Insoles help by offering stability and reducing discomfort. They support the arch and improve balance, which lowers the chance of falls. Comfortable insoles can improve daily life significantly.
Choosing the Right Insoles for Your Needs
Factors to consider when selecting insoles (foot shape, severity of condition).. Recommendations for specific insoles based on individual needs..Finding the right insoles is key to comfort. Think about your foot shape first. Is your foot wide or narrow? Also, consider the severity of your condition. Are you in a lot of pain? Some insoles offer more support than others. Look for options that match your needs:
- Soft cushioning for comfort
- Arch support for stability
- Shock absorption for impact protection
Choosing wisely can help you move better and reduce pain.
What are the factors to consider when selecting insoles?
Foot shape and severity of condition are important factors. Custom insoles might be best for specific needs.
How to Properly Use Charcot Foot Insoles
Instructions for inserting and adjusting insoles in footwear.. Tips for transitioning to new insoles to prevent discomfort..Inserting your insoles is easy! First, remove the old ones from your shoes. Next, slide in the charcot foot insoles, making sure they fit snugly. If they feel like a shoe too tight for your favorite sock, you might need to adjust them. Remember to take it slow with new insoles. Start by wearing them for short periods to let your feet get used to the change. If it feels like walking on clouds, you’ve nailed it!
| Tips for Inserting Insoles | Transitioning to New Insoles |
|---|---|
| 1. Remove old insoles. | 1. Wear them for 1-2 hours daily. |
| 2. Insert new insoles snugly. | 2. Gradually increase wear time. |
| 3. Ensure no bunching occurs. | 3. Listen to your feet – they know best! |
Keep in mind that discomfort is normal at first. Your feet will soon feel fantastic, and you’ll be walking like a champ! Trust us; your toes will thank you for the upgrade.
Maintaining Your Charcot Foot Insoles
Best practices for cleaning and storing insoles.. Signs that your insoles need replacement..Keeping your insoles clean is important for foot health. Clean them with mild soap and water. Let them dry completely before putting them back in your shoes. Store them in a cool, dry place to avoid mold.
Watch for signs your insoles need replacing:
- Unpleasant odor: A strong smell means it’s time for a new pair.
- Visible wear: Cracks or tears can reduce support.
- Loss of cushioning: If they feel flat, it’s best to change.
Taking care of your charcot foot insoles helps you stay active and comfortable.
How often should I replace my charcot foot insoles?
Replace your insoles every 6 to 12 months, depending on wear. Make sure to check them regularly!
Consulting with Healthcare Professionals
Importance of professional guidance in selecting insoles.. When to seek a podiatrist’s or orthopedist’s advice regarding insoles..Choosing the right insoles requires expert advice. Healthcare professionals know your foot health best. They can help you find the right support for charcot foot insoles. This ensures comfort and reduces pain. So, when should you see a podiatrist or orthopedist? Consider visiting them if you:
- Feel constant foot pain.
- Notice swelling or redness.
- Have trouble walking or standing.
Expert guidance can make all the difference. It’s smart to ask for help, especially when it comes to your feet.
Why consult healthcare professionals about insoles?
Seeking advice ensures you get the right fit and support for your foot condition.
Conclusion
Insoles for Charcot foot help provide support and comfort. They reduce pain and prevent further damage. When choosing insoles, look for good cushioning and stability. Consult with doctors or podiatrists for the best options. We encourage you to learn more about foot care to keep your feet healthy and happy!FAQs
What Are The Best Types Of Insoles For Managing Charcot Foot Symptoms?For managing Charcot foot symptoms, you should look for insoles that support your foot. Cushioned insoles can help absorb shock. Custom-made insoles are great because they fit your foot perfectly. Arch-supporting insoles also help keep your foot balanced. Always talk to your doctor to find the best choice for you.
How Do Custom Orthotic Insoles Benefit Individuals With Charcot Foot?Custom orthotic insoles help people with Charcot foot by giving their feet extra support. They can help you walk more easily. These insoles also help reduce pain and keep your feet safe. By using them, you can feel more comfortable every day. This makes it easier to enjoy activities with friends and family.
What Materials Are Commonly Used In Charcot Foot Insoles To Provide Support And Cushioning?Insoles for Charcot foot often use soft foam to cushion your feet. They can also have gel for extra comfort. Some insoles use a hard plastic part to give you support. These materials help keep your foot safe and comfortable when you walk.
How Often Should Charcot Foot Insoles Be Replaced Or Adjusted?You should check your Charcot foot insoles every few months. If they feel worn out or uncomfortable, it’s time to replace them. Also, if your foot shape changes, we need to adjust them. Keeping your insoles in good shape helps your feet feel better. Always talk to your doctor for advice too!
Can Over-The-Counter Insoles Be Effective For Patients With Charcot Foot, Or Are Custom Solutions Necessary?Over-the-counter insoles can help some people with Charcot foot, but they may not be enough for everyone. Custom insoles are made just for you, fitting your foot perfectly. This helps support your foot better. It’s always best to talk to a doctor about what will work best for you.